我院收治多例急性消化道出血患者,专家提醒天气转冷,谨防急性上消化道出血。
入冬以来,消化道出血进入高发期。近期,临沂金锣医院消化内科收治了多例急性消化道出血患者,消化内科主任姜开通(医师)提醒:寒冷季节,诱发部分有消化道疾病患者病情发作,特别是消化道出血,患者通常发病急、出血量大、可伴有失血性休克,甚至危及生命,请及时就医,送医途中,呕吐时尽量侧卧,避免误吸。
金锣医院消化内科有多种消化道止血方法,不用开刀,不用外科手术,伤害更小,效果更好,有症状早发现,早治疗,为您的健康保驾护航。


上消化道出血
Part.01消化出血的症状及危害消化道出血常见的症状包括呕血、黑便和便血。
呕血是食管胃和十二指肠的出血经口腔呕出,伴有恶心,血常呈暗红或咖啡色,可混有食物。黑便指黑色或柏油样的大便,是血液在肠内经硫化物作用形成硫化铁所致;如果出血量大、肠蠕动过快,则可排出暗红色大便甚至带有血块。此外,还可能表现出引起消化道出血常见疾病的症状,如慢性周期性节律性上腹痛、饥饿痛或夜间痛、反酸等消化性溃疡症状,乏力、消瘦、纳差、腹胀、黄疸等肝硬化症状,腹痛、厌食、进行性消瘦和腹部包块等消化系统肿瘤表现。

上消化道出血
Part.02常见原因及诊断方法
消化道溃疡:
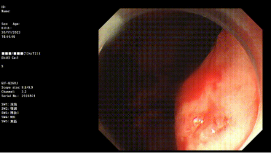
胃溃疡或十二指肠溃疡是导致上消化道出血的主要原因之一。通过胃镜检查可以直接观察到溃疡的情况,确定出血的部位和程度。
结直肠疾病:
痔疮、直肠炎、结直肠癌等都可能引起直肠或下消化道出血。结肠镜检查是诊断这类问题的最佳方法。
其他原因:
肝硬化门脉高压,贲门黏膜撕裂,上消化道肿瘤;某些药物、炎症性肠病(如克罗恩病、溃疡性结肠炎)等也可能导致大便出血。全面的身体检查和实验室检测有助于确定病因。
Part.03就医建议
1. 及时就医:消化道出血是消化系统的一个警示信号,应该及时就医。医生会根据症状、病史、体格检查以及必要的检查结果来判断出血的原因。
2. 及时治疗:根据出血的原因,医生会根据出血严重程度不同可能采取药物治疗、内镜治疗或手术等不同的治疗措施。
3. 定期随访:完成治疗后,患者应定期随访,确保症状得到缓解,同时了解疾病的发展情况。
Part.04病因诊断有哪些方式?
1. 内镜检查:包括胃镜、结肠镜等内镜检查技术,可以直接观察到消化道黏膜的情况,帮助医生确定出血的原因。
2. 影像学检查:肠道CT、核磁共振等影像学检查方法能够提供更全面的图像信息,有助于找出隐匿的病变。
3. 血管放射下造影可以找出出血部位。

止血成功
Part.05预防与注意事项
1. 就医咨询:一旦发现大便带血的情况,应立即就医,接受专业医生的咨询和评估。早期的诊断和治疗可以显著提高疾病的治愈率。
2. 饮食调整:保持饮食的多样性,增加膳食纤维摄入,有助于预防某些肠道疾病的发生。
3. 定期体检:定期体检,包括结直肠镜检查等筛查项目,有助于早期发现和预防消化道疾病。
4. 合理用药:在医生的建议下使用药物,肝硬化食管静脉曲张、消化性溃疡的病人应避免服用非甾体消炎药,如退热的、治疗腰腿痛的西药,特别是一些可能对消化道产生负面影响的药物时,要密切关注身体反应。
5. 生活方式调整:保持规律的生活作息,适度运动,避免过度紧张和和压力,对于维护肠道健康至关重要。

